자궁선근증 | 하이푸 시술·여성성형 특화 | 강남 바른길산부인과

자궁선근증 바른 하이푸

2024형 리뉴얼 충칭하이푸 JC 200D를 통해
절개와 마취가 필요없는 비수술 자궁치료를 시행합니다.

자궁근종 치료,
바른 하이푸의 특별함은 다릅니다.

길기현 대표원장은 2,300례 이상의 풍부한 시술경험과 노하우를 갖춘 산부인과 전문의 의학박사로,
직접 진단부터 시술까지 One stop으로 진행합니다.
자궁근종과 자궁선근증 치료를 위한 많은 임상 데이터를 확보하고 있어 보다 정확하고 안전한 시술이 가능합니다.

누적 외래진료

18,830

2023년 11월 기준
하이푸 시술

2,300

2023년 11월 기준

자궁근종 및 자궁선근증 차이점

여성의 제 2의 심장 ‘자궁’
자궁은 여성건강의 척도이자 생명의 근원지입니다.

우리나라 30세 이상 가임기 여성 10명 중 4~5명에게서 발견되는 자궁근종/자궁선근증
자궁 내 근육 세포들의 비정상적인 증식으로 인해 발생하는 양성 종양입니다.

자궁선근증이란?

자궁 내막층의 조직이 근육층으로 침투해 자궁벽이 두꺼워지고 자궁이 비대해지는 증상을 말합니다.
대게 통증이 자궁근종보다 심하고, 자궁선근증과 일반 조직의 경계가 불분명해 치료가 어려운 질환입니다.
또한 선근증은 가임기 여성 난임의 원인이 될 수 있어 치료가 필요합니다.

자궁선근증
비수술 바른 하이푸 치료

바른 하이푸 프로그램은 초음파 에너지를 사용한 무절개/무마취/비수술 치료이며
실시한 고화질 영상 유도 장치를 통해 안전하고 정밀하며 시술이 가능합니다.

자궁선근증의 증상

자궁선근증은 자궁근종이나 자궁내막증처럼 정확히 어떤 혹의 형태가 있기보다는
내막이 부풀어 근육층을 파고든 형태로 자궁의 크기를 비대하게 합니다.

자궁선근증 치료 방법



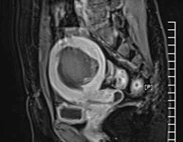
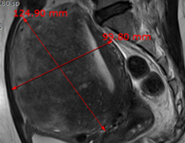
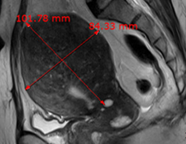
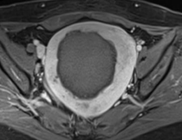
자궁선근증 치료 사례

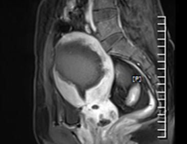
  • 시술 전

    시술 후

  • 시술 전

    시술 후

  • 시술 전

    시술 후

  • 시술 전

    시술 후

바른길 자궁치료의 특별함

  • 개인별 맞춤 진단 및 치료
    그동안 축적된 임상 데이터와 다양한 분석을 통해 질환의 증상은 물론
    과거의 산과력이나 수술력, 임신 계획까지 고려해 환자 개인의 환경에
    맞는 하이푸 시술을 시행합니다.
  • 정밀한 영상 분석 시스템
    바른 하이푸는 자궁의 조직과 주변 장기에 손상을 주지 않고
    정확하고 안전한 시술을 할 수 있도록 후유증을 예방할 수 있는
    정밀한 영상 분석 시스템을 갖추고 있습니다.
  • 통증을 최소화 해주는 치료
    바른하이푸 클리닉은 마취가 필요 없는 치료부터 시술 시 통증을
    최소화해주기 위한 수면마취와 진정마취에 이르기까지 편안하고
    안전한 시술이 될 수 있도록 도와줍니다.
  • 임신 준비를 위한 맞춤 케어
    바른 하이푸 클리닉은 성공적인 임신과 건강한 출산을
    준비할 수 있도록 돕고 난임 치료를 위한
    맞춤 케어 프로그램을 운영합니다.
  • 체계적인 사후관리 시스템
    바른 하이푸 클리닉은 환자의 상태와 증상에 맞는
    정기적인 검진으로 환자의 건강을 체계적으로 관리해 드리고
    재발을 예방할 수 있는 사후관리 서비스를 제공합니다.

바른길 산부인과의 진료철학

[ 경청, 진정성, 여성존중, 삶의 질 향상 ]

길기현 원장

"자궁근종자궁선근증 치료를 위한
많은 데이터베이스 확보"

"정확하고 안전하이푸 시술"

"하이푸 2,300례이상의 풍부한 시술 경험 보유"

산부인과전문의 의학박사 길기현 원장이
진단부터 시술까지 직접 진행합니다.

자궁선근증

내용