회원가입
로그인
로그인
회원가입
LOGIN
JOIN
바른길산부인과 소개
핵심경쟁력
의료진 소개
장비소개
진료시간 & 오시는 길
병원 둘러보기
하이푸센터
바른 하이푸의 특별함
자궁근종 바른 하이푸
자궁선근증 바른 하이푸
자궁보존치료
고주파용해술
미레나 삽입술
자궁경수술
난소경화술
난소경화술
여성성형
비비브
질쎄라
레이저 질 타이트닝
레이저 소음순 성형
레이저 질 성형
쁘띠 질성형
실크우먼 프로그램
기능의학 영양주사
여성질환
질염
방광염
생리과다 & 생리통
불규칙 월경
자궁경부암 백신
커뮤니티
바른길 소식
바른길 칼럼
온라인 상담
자주하는 질문
치료전후사진
치료전후사진
바른길 산부인과는 여성의 건강하고 아름다운 삶을 위해
고품격의 진료 서비스를 제공합니다.
치료 전후 증례
목록
치료 전후 증례 카테고리
전체
바른 하이푸
바른 여성성형
Total 7건
1 페이지
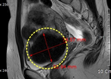
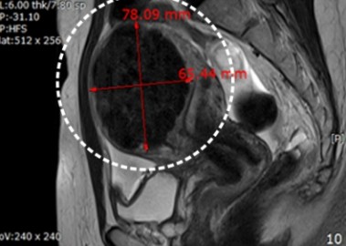
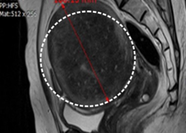
자궁근종 6cm 치료 전후
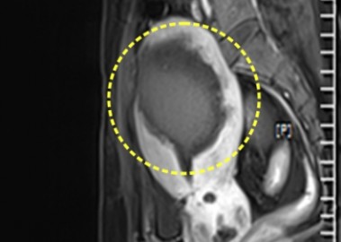
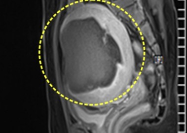
거대 자궁선근증 치료 사례
거대 자궁선근증 치료 사례
거대 자궁선근증 치료 사례
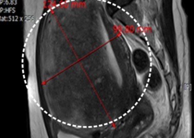
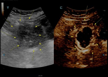
장막하근종 치료 사례
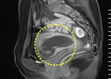
다발성 자궁근종 치료 사례
점막하근종 치료사례
검색대상
제목
내용
제목+내용
회원아이디
회원아이디(코)
글쓴이
글쓴이(코)
검색어
필수